THE BRIEFING
The numbers in this issue are hard to ignore. The OpenAI Foundation pledged at least $1 billion and named life sciences as its first priority. Earendil Labs - a company most of the field is still getting to know - raised $787 million for an AI biologics platform that has generated more than 40 drug programs.
A multi-agent AI system called Cerebra was validated across 3 million patient records from four healthcare systems. And a Technion-led team showed that a deep learning model running on a routine pathology slide can estimate a $3,500 genomic test that guides chemotherapy decisions - published in The Lancet Oncology and validated against one of the largest breast cancer trials ever conducted.
Let’s dive in.
AD
How can AI power your income?
Ready to transform artificial intelligence from a buzzword into your personal revenue generator
HubSpot’s groundbreaking guide "200+ AI-Powered Income Ideas" is your gateway to financial innovation in the digital age.
Inside you'll discover:
A curated collection of 200+ profitable opportunities spanning content creation, e-commerce, gaming, and emerging digital markets—each vetted for real-world potential
Step-by-step implementation guides designed for beginners, making AI accessible regardless of your technical background
Cutting-edge strategies aligned with current market trends, ensuring your ventures stay ahead of the curve
Download your guide today and unlock a future where artificial intelligence powers your success. Your next income stream is waiting.
NEWS
OpenAI Foundation pledges at least $1 billion, names life sciences as first priority

The OpenAI Foundation - the nonprofit that controls OpenAI and holds a stake valued at roughly $130 billion - will invest at least $1 billion over the next year across life sciences, AI resilience, economic impact, and community programs. Life sciences is where it's starting.
Three initial focus areas: AI for Alzheimer's - mapping disease pathways, detecting biomarkers, and personalizing treatments; building open health datasets; and funding progress on underfunded high-mortality diseases.
“We believe that AI has enormous potential to speed up scientific and medical progress to save and improve lives. We are already seeing many early signs of AI’s abilities in these areas”, the Foundation said in a statement.
Jacob Trefethen, who oversaw $500 million in grantmaking at Coefficient Giving, joins as Head of Life Sciences. OpenAI co-founder Wojciech Zaremba moves to Head of AI Resilience, with biosecurity in scope.
The $1 billion covers all four programs, not just life sciences. But the program was renamed from “Health” to “Life Sciences” to reflect a focus on biology and medical research.
Why it matters: In 2024, the OpenAI nonprofit granted out $7.6 million total. Now it's pledging more than 130 times that in a single year. The commitment is part of a broader $25 billion pledge announced when OpenAI restructured as a for-profit company last October. The gap between announcement and execution invites skepticism. But hiring someone who ran half a billion dollars in science funding, and moving a decade-long co-founder from the commercial side to run biosecurity, suggest this might be more than a press release.
Did you know? It might not come as a huge shock if I tell you that OpenAI has a large number of open positions, and not just in San Francisco.
NEWS
A $787 million AI biologics company you might not know about

Earendil hasn’t published any media images. So I asked Nano Banana 2 to imagine their namesake - Eärendil the Mariner, the Tolkien character who sailed between worlds.
Earendil Labs raised $787 million last week and many in the AI×bio world are still figuring out who they are. The company is incorporated in Delaware but operates through its Beijing-based affiliate Helixon Therapeutics. When Sanofi signed its first deal with Earendil in April 2025, the company's website was a single page.
What's known: Honestly, not much. A very brief overview on the company’s website says it has an AI platform built around a foundational protein model that predicts how antibodies bind to targets, models their 3D structure, forecasts properties like stability and half-life, and optimizes in closed-loop integration. A wet lab tests the designs at scale.
The platform has generated more than 40 drug programs, according to Endpoints. The furthest along - an antibody for inflammatory bowel disease engineered to stay active longer than existing treatments - is Phase 2-ready. Sanofi has signed two deals, the latest worth up to $2.56 billion in milestones. The round drew Sanofi, Biotech Development Fund, DST Global, and Dimension Capital.
The founders pair computation with biologics experience. CEO Jian Peng is a UIUC computer science professor and ISCB Overton Prize winner. Co-CEO Zhenping Zhu is a former VP and Global Head of Protein Sciences at Novartis who led the discovery of four FDA-approved cancer antibodies at ImClone (a pharma company later acquired by Eli Lilly). Earendil also co-developed NVIDIA's Fold-CP, which we covered in Issue 9.
Why it matters: Dimension Capital's Zavain Dar called Earendil “the DeepSeek of biotech.” BioPharma Dive reported last year that Helixon Therapeutics is backed by a number of Chinese venture capital firms, “and is part of a growing biotechnology sector in China that is increasingly attracting partners in the U.S.”
Did you know? Earendil is reportedly considering a Hong Kong IPO. The company also, earlier this month, signed a manufacturing deal with WuXi Biologics.
NEWS
AI agents assesses dementia risk across 3 million patients
Assessing dementia risk means integrating electronic health records, clinical notes, and brain imaging - data that in practice is often fragmented, unevenly available, and spread across different systems. Most AI models collapse all of this into a single opaque score. Cerebra, an “interactive multi-agent AI team”, takes a different approach.
The tool, from a team led by Sheng Liu at Stanford with co-authors such as Eric Topol, James Zou, and Kyunghyun Cho, coordinates a board of specialized AI agents that do this synthesis on the clinician's behalf. One agent reads structured health records, another interprets clinical notes, a third analyzes brain MRI scans. A coordinator synthesizes their outputs into a clinician-facing dashboard with visual analytics and a risk assessment.
Tested on 3 million patients across four independent healthcare systems, Cerebra consistently outperformed both single-modality AI and large language model baselines at predicting dementia risk, diagnosing dementia, and forecasting survival. And in a reader study, experienced physicians using Cerebra improved their accuracy in prospective dementia risk assessment by 17.5 percentage points. The system also works when data is incomplete - a common reality in clinical settings.
Caveats: Cerebra learns from diagnosis codes in health records, which the authors note can be noisy and imprecise. The evaluation is retrospective, not prospective. And predictions are currently limited to 1-3 year horizons - catching early-onset dementia would require much longer forecasting windows, which the available data can't yet support.
Why it matters: Cerebra is likely one of the first multi-agent AI systems validated across millions of real patient records. It is a preprint and has not been peer-reviewed, but the scale and the clinical reader study set it apart.
Did you know? Cerebra can run on local open-source models, meaning hospitals don't have to send patient data to external AI providers. The system is also designed so that only structured, de-identified representations reach the LLM layer - raw patient records stay on-site. Code is on GitHub and a live demo is available at cerebra-health.com.
NEWS
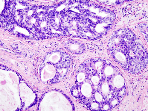
A deep learning model estimates a $3,500 cancer test from a $1 pathology slide

A routine pathology is all you need.
A $3,500 genomic test called Oncotype DX guides whether breast cancer patients get chemotherapy after surgery. It's the only test US guidelines recommend as predictive of chemotherapy benefit for the most common type of breast cancer. But high cost means it reaches fewer than 5% of patients in India and is largely unavailable across Africa.
A team led by Gil Shamai at the Technion - Israel Institute of Technology, with collaborators at Dana-Farber, Mount Sinai, and the University of Chicago, built a deep learning model that estimates the same score from routine pathology slides - the kind every hospital already produces for under a dollar. Built on Microsoft's GigaPath (the same foundation model behind GigaTIME, which we covered in Issue 9) it was trained on 8,284 patients from TAILORx, one of the largest breast cancer randomized trials ever conducted. Across six external cohorts in Israel, the US, and Australia, accuracy held.
Without genomic testing, doctors rely on tumor size and grade to decide who gets chemo - but some patients who look high-risk by those measures are actually low-risk genomically, meaning chemo won't help them. The AI caught this: 31% of clinically high-risk postmenopausal women were reclassified as low-risk, and trial data confirmed they got no benefit from chemo. The system hasn't been tested in a live clinical setting yet.
Why it matters: Published in The Lancet Oncology, this is the first AI pathology model for recurrence score prediction validated against randomized trial data - the gold standard for showing a risk score actually predicts who benefits from treatment, not just who's at risk. Co-author Ron Kimmel, a professor of computer science at the Technion, described the shift to CTech: "Instead of testing genes, we look directly at the tissue."
Did you know? The model's code is open-source on GitHub. In the US, where Oncotype DX is near-universal, insurers spend an estimated $300-600 million annually on the test.
THE EDGE
Diffuse Bio's RamaX screens large protein binder libraries against up to 100 targets simultaneously, with validated binding data in as little as a week. The YC-backed startup reports it matches the accuracy of the standard lab screening method at up to 8x the speed. A new optimization feature claims 4-50x affinity improvements in 1-2 weeks. What we have to go on is a company technical report, but the platform is live and accepting projects at ramax.diffuse.bio.
ON OUR RADAR
Until next time,
Peter at BAIO



